Complex & Minimally-Invasive Spine Surgery
cerv40b mustafakhanmd.jpg

Surgical Cases

Surgical Cases


Cervical Spine (Neck) Surgery

Cervical spine surgery is most commonly performed to treat two conditions:

1) Radiculopathy: Neck pain radiating into the upper extremities due to a pinched nerve, and

2) Myelopathy: Abnormal motor/sensory function of the extremities due to compression of the spinal cord.

[ACDF= Anterior Cervical Diskectomy & Fusion]

1-level ACDF C5-6

2-level ACDF C5-7

2-level ACDF C4-6

2-level ACDF C3-5

3-level ACDF C4-7

3-level ACDF C3-6

3-level ACDF C3-6

3-level ACDF C4-7

4-level ACDF

C3-7

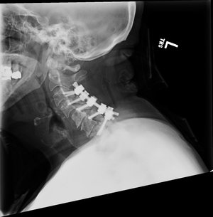
Posterior Cervical Laminectomy & Fusion

Posterior Cervical Laminectomy & Fusion

Posterior Cervical Laminectomy & Fusion

A+P C5-7 fusion with C6 corpectomy [Tumor]

Posterior Cervical Fusion [Non-union]


Minimally-Invasive Spine (MIS) Surgery

In certain cases, it is possible to perform surgery through small incisions (instead of larger, conventional incisions) so that trauma to the surrounding tissues can be minimized. Recovery may be faster compared to conventional spine surgery. 

[TLIF= Transforaminal Lumbar Interbody Fusion]

Single-Level

MIS L2-3 TLIF

Single-Level

MIS L4-5 TLIF

Single-Level

MIS L5-S1 TLIF

Single-Level

MIS L5-S1 TLIF

Two-level

MIS L4-S1 TLIF

Two-level

MIS L4-S1 TLIF


Lumbar Spine (Low-back) Surgery: Conventional

Compression of the spinal nerve roots in the lower-back may result in persistent pain, numbness, tingling which can be debilitating. Sometimes conventional surgery is the best option to address this condition.

Single-level

L4-5 Laminectomy & Fusion

Single-level

Lumbar L4-5 Laminectomy & Fusion

Single-level

L4-5 TLIF (Massive disc herniation)

Two-Level

L4-S1 Laminectomy & Fusion

Three-level

L2-5 TLIF

Three-Level

L3-S1 Laminectomy & Fusion

Four-Level

L2-S1 Laminectomy & Fusion


Trauma/ Revision/ Interesting Surgical Cases

Traumatic injuries affecting the spine may potentially result in severe neurological and mechanical instability, and these injuries need to be stabilized quickly.
Revision surgery is sometimes needed to fix old/ new problems after a previous spine surgery.

Anterior + Posterior Cervical Fusion [Trauma: DISH fracture]

Failed C5-6 Disc Replacement [Converted to a Posterior Fusion]

Failed C5-6 Disc Replacement [Converted to ACDF]


 

Loose Plate [Removed, and L3-S1 Fusion Performed]

ACDF C4/5        [Adjacent segment degeneration + broken hardware]

PSF L5-S1 [Failed AXIALIF implant]

Revision Multi-Level Lumbar Laminectomy & Fusion [Failed previous surgery]


Kyphoplasty

Compression fractures of the vertebral bodies (usually due to osteoporosis and low-energy trauma) may cause significant pain and disability. Kyphoplasty (a procedure of injecting PMMA-cement into the fractured bone) is a good option for patients whose pain is not relieved with nonoperative treatment.

L1 Kyphoplasty

 
MOGL Logo 4.jpg